Gynaecological Sono
Baseline Scan
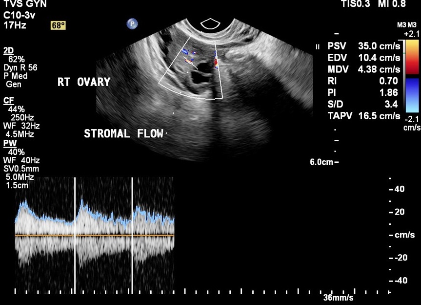
The baseline scan is usually done on the 2nd or 3rd day of the menstrual cycle transvaginally. Several parameters are assesed, including presence of cysts in the ovaries, appearance of ovaries etc. This scan gives an overview to the gynecologist in planning ovulation induction and assessing infertility.

