Pregnancy Sono
First Trimster Screening (Nuchal translucency, Nasal bone, etc)
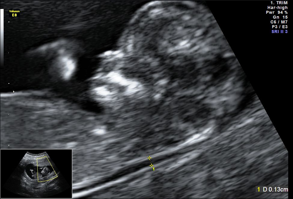
This scan is carried out from 11 weeks to 13 weeks and 6 days. The scan is usually performed transabdominally but in a few cases it may be necessary to do the examination transvaginally.
Aims of the First Trimster Screening (Nuchal translucency, Nasal bone, etc)
- To estimate risk of Down's syndrome and other chromosomal abnormalities in the fetus : The mother is given an estimate of risk for her fetus having Down syndrome and other chromosomal abnormalities. This is calculated by factoring the age of the mother, levels of free beta hCG and PAPPA in the mother's blood the ultrasound findings ( viz. nuchal translucency measurement, nasal bone, ductus venosus, tricuspid regurgitation and fetal abnormalitites). Parents are explained the significance of these risks and the options for further investigations.
- To diagnose major abnormalities in the fetus Some major fetal malformations abnormalities may be detectable at this early stage. This should be followed up with and anomaly scan at 18-20 weeks of gestation. The date for this scan may be suggested.
- To determine accurately the duration of pregnancy and the expected date of delivery date : Dating the pregnancy is done by measuring the size of the fetus and is more accurate in the early stages of pregnancy. Dating the pregnancy is particularly important is the mother is not sure about the date of her last period, of if her menses are irregular menstrual cycle, or if conception has occured during breastfeeding or soon after stopping contraceptive pills.
- • To diagnose twins or mutiple pregnancy : Presence of multiple fetuses can be detected. Ultrasound scan can determine if both babies are sharing the same placenta, which can lead to problems during the pregnancy.


