Pregnancy Sono
Obstetrics Doppler Study
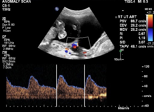
Doppler study is asked for by the Obstetrician to determine whether the blood flow from the mother to the placenta, and from the placenta to the fetus is adequate. It is also able to detect whether or not the fetus is getting adequate oxygen through blood and whether the fetus is consequently compromised. When indicated, the information sought is important and is intended to enable the Obstetrician take important decisions regarding management of the pregnancy. Our Centres are known for the high level of reliability of Doppler reporting.

