Gynaecological Sono
Pelvic Ultrasound
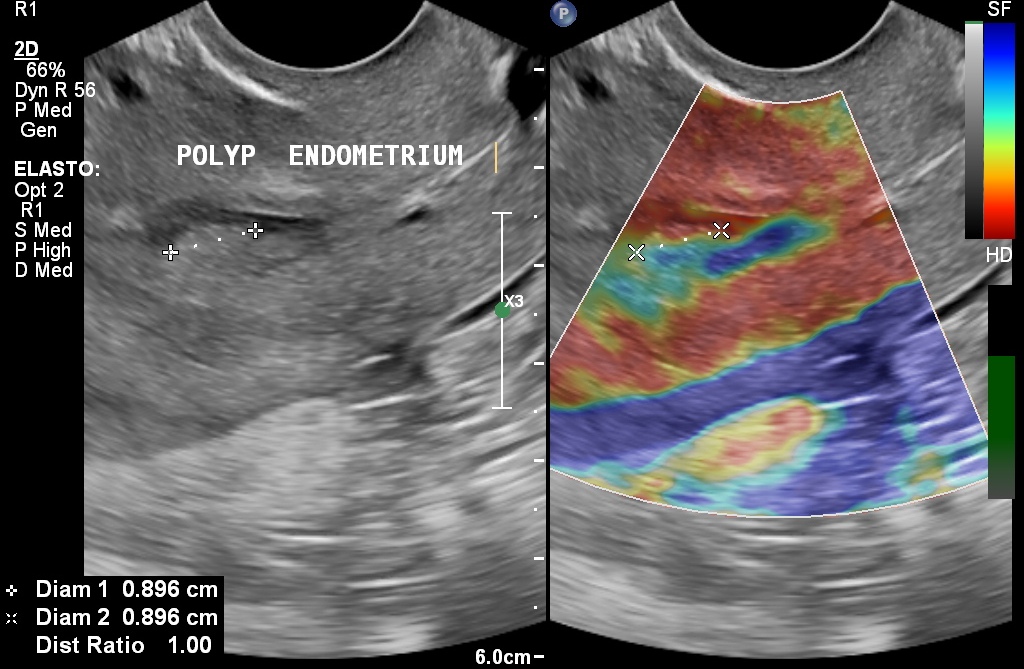
This is commonly required for a variety of indications including menstrual irregularities, irregular or excessive bleeding, after D&C, pelvic pain etc. Both trans-abdominal and transvaginal approaches are ofetn required.

